Understanding Spinal Tumors
Spinal tumors are abnormal growths that develop in or around the spinal cord or vertebrae. They can be classified as:
– Benign Tumors: Non-cancerous but may still cause pain or neurological issues due to their size or location.
– Malignant Tumors: Cancerous growths that may originate in the spine or spread from other areas of the body (metastatic tumors).
What Is Spinal Tumor Surgery?
Spinal tumor surgery involves the removal or reduction of a spinal tumor to alleviate symptoms, prevent further complications, and improve quality of life. Depending on the tumor type, size, and location, surgery may be curative or palliative (focused on symptom relief).
Symptoms of Spinal Tumors
Common symptoms include:
– Persistent back pain that worsens at night or with activity.
– Weakness, numbness, or tingling in the arms or legs.
– Difficulty walking or maintaining balance.
– Loss of bowel or bladder control (in severe cases).
If you experience these symptoms, timely evaluation and treatment are critical.
Who Needs Spinal Tumor Surgery?
Surgery may be recommended if:
– The tumor is causing significant pain, neurological deficits, or spinal instability.
– The tumor is accessible and can be safely removed without causing harm to surrounding structures.
– Other treatments, such as radiation or chemotherapy, are insufficient on their own.
Types of Spinal Tumor Surgery
1. Laminectomy: Removal of part of the vertebra to access and remove the tumor.
2. Minimally Invasive Surgery (MIS): Advanced techniques using small incisions and specialized instruments to remove tumors with minimal disruption.
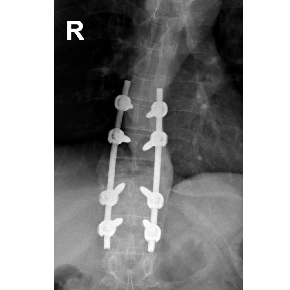
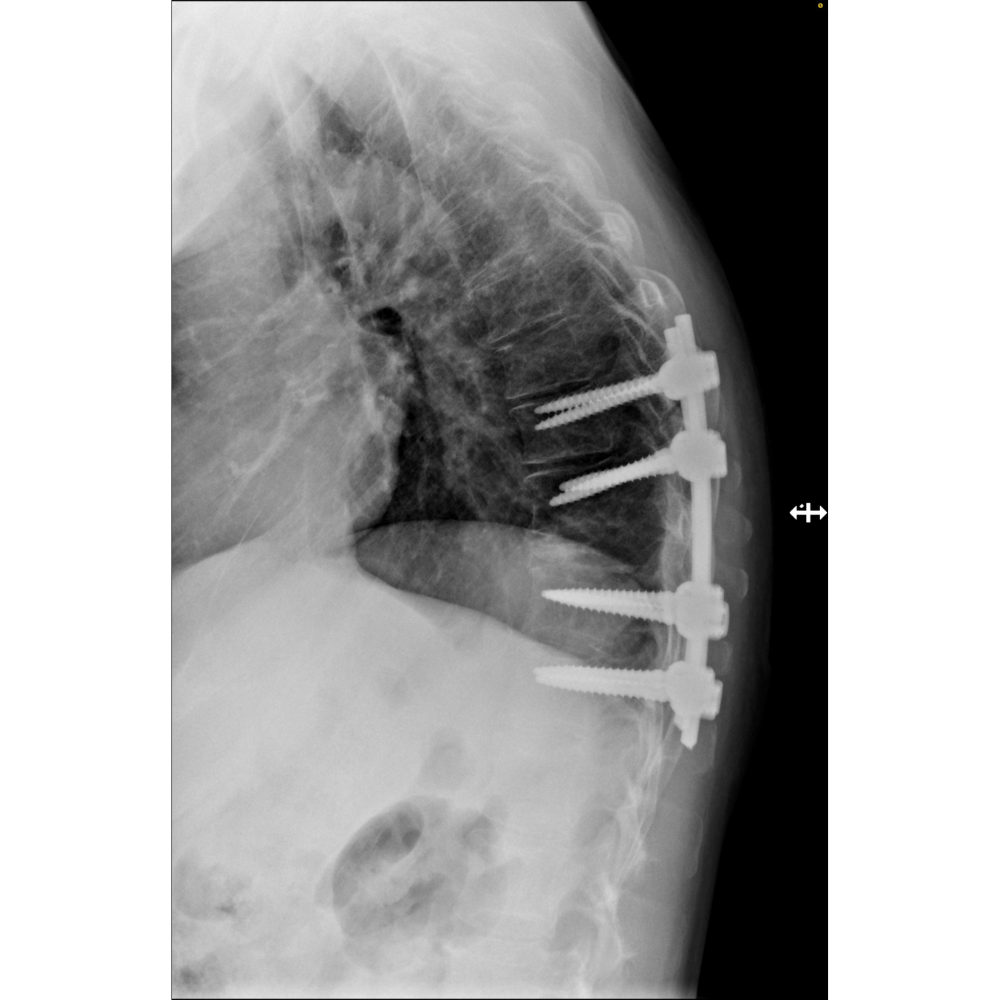
3. Spinal Stabilization: Use of rods, screws, or bone grafts to restore stability after tumor removal.
4. Decompression Surgery: Relieves pressure on the spinal cord or nerves caused by the tumor.
Benefits of Spinal Tumor Surgery
– Relief from chronic pain and neurological symptoms.
– Improved mobility and quality of life.
– Prevention of further spinal cord or nerve damage.
– Potentially life-saving intervention for malignant tumors.
The Surgical Process: What to Expect
1. Pre-Surgical Evaluation: Includes imaging studies (MRI, CT, or X-rays), biopsy (if needed), and a thorough assessment of overall health.
2. During Surgery: Performed under general anesthesia, the procedure may last several hours depending on the complexity.
3. Post-Surgical Recovery: Patients may require a hospital stay, followed by physical therapy to regain strength and mobility.
Why Choose Us for Spinal Tumor Surgery?
We combine advanced technology with compassionate care to deliver exceptional outcomes:
– Expert Team: Led by Dr. Dheeraj, a spine surgeon with extensive experience in spinal tumor surgery.
– Multidisciplinary Approach: Collaboration with oncologists, neurologists, and rehabilitation specialists.
– State-of-the-Art Facilities: Equipped with cutting-edge imaging and surgical tools.
– Personalized Care: Tailored treatment plans to address each patient’s unique needs.
Frequently Asked Questions
Is spinal tumor surgery safe?
While all surgeries carry risks, advances in techniques and technology have significantly improved the safety and success of spinal tumor surgeries.
Will I need additional treatments after surgery?
Depending on the type of tumor, additional therapies such as radiation or chemotherapy may be recommended.
How long does recovery take?
Recovery varies, but most patients resume normal activities within a few weeks to months, depending on the procedure and their overall health.
Take the First Step Towards Recovery
If you or a loved one has been diagnosed with a spinal tumor, early intervention is key. Contact us today to schedule a consultation and learn how we can help you regain your health and quality of life.
Trust us to provide the expertise and care you need for a brighter future.








